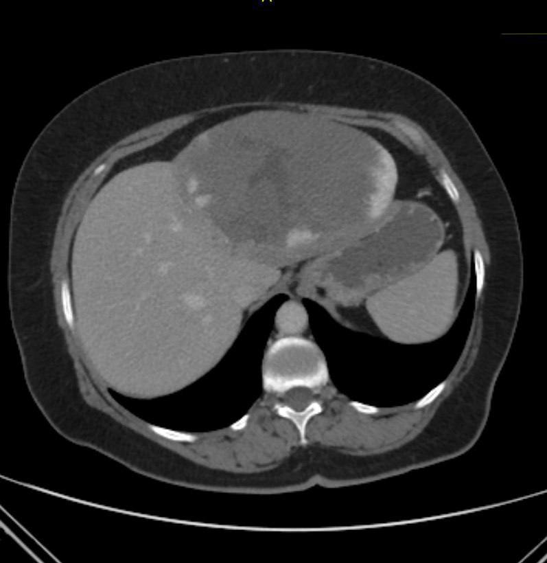
Пухлину рекордних розмірів видалили хірурги Рівненського обласного протипухлинного центру. Йдеться про гемангіому печінки, розмір якої за рік збільшився від 4 до 15 см. Видалили її 64-річній пацієнтці. Складне оперативне втручання, яке має назву лапароскопічна лівобічна гемігепатектомія, провели хірурги-онкологи Маргарита Пісецька, Андрій Валяєв та Павло Рябошапко.

Як пояснили в обласному протипухлинному центрі, гемангіома є найпоширенішою доброякісною пухлиною печінки. Її виявляють у 2–20% населення. Зазвичай такі пухлини мають розмір 3-5 см і не ростуть. Також здебільшого не провокують симптомів та не потребують лікування.
А от утворення більші за 5 см фахівці відносять до гігантських гемангіом. В історії є випадки видалення таких пухлин. До прикладу, львівські хірурги видалили пухлину завбільшки 10 см.
Тому клінічний випадок в історії рівненських онко-хірургів можна вважати справді унікальним.
На шосту добу після операції пацієнтку в задовільному стані виписали додому. Це стало можливим саме завдяки лапароскопічному підходу. Такий вид операцій - на противагу відкритим втручанням, передбачає меншу операційну травму, менше виражений больовий синдром, як наслідок - пацієнт відновлюється швидше.
Про це інформують в Рівненській облраді
Читайте також: У Рівному зупинили водія без посвідчення з ознаками наркотичного сп’яніння