Лікарі Обласного центру планової хірургії та трансплантології РОКЛ імені Юрія Семенюка видалили пацієнтці паразитарні новоутворення печінки - ехінококові кісти.
Ехінококові кісти – це доброякісні паразитарні новоутворення, які з’являються в організмі людини внаслідок зараження личинками стрічкового черв'яка. Найчастіше уражається печінка, але також можуть бути легені та інші органи.
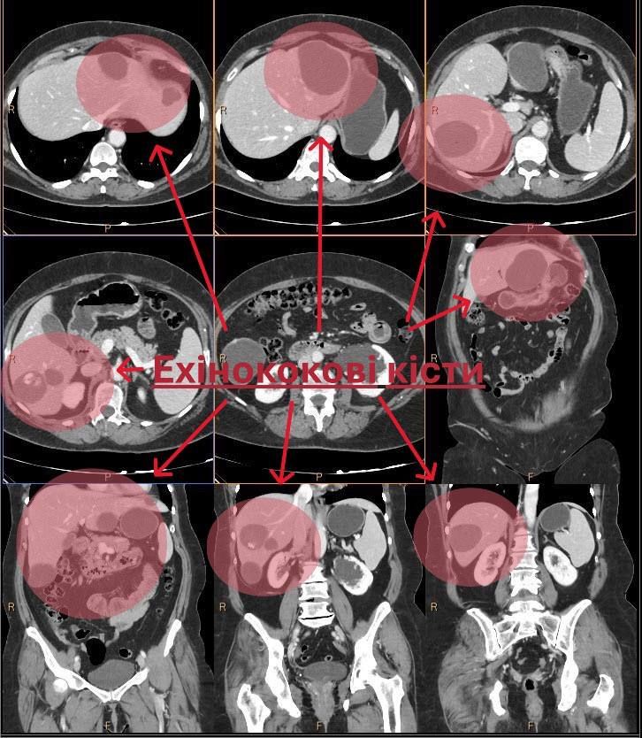
До медиків звернулася жінка зі скаргами на слабкість, підвищену температуру, відчуття важкості та розпирання у правому підребер’ї та епігастрії. Фахівці направили її на аналіз на ехінокок і КТ, де виявили множинні кісти. Єдиним способом допомогти була операція.
Команда лікарів - Назарій Шарафан, Іван Нечипорчук, лікар-інтерн Анастасія Омельянчук та анестезіолог Юрій Коваль - провела втручання лапароскопічно. Всі патологічні осередки видалено, здорова тканина печінки збережена. Пацієнтка після операції почувається добре та вже проходить відновлення.
Велика кількість кіст у печінці пояснюється тим, що жінка не звернулася до лікарів після появи перших симптомів, вчасно не обстежилася, тож хвороба поширювалася, зазначили у РОКЛ.

Ехінококові кісти з’являються, якщо личинка гельмінта потрапляє в організм:
- при контакті з тваринами, особливо собаками та домашніми улюбленцями;
- через немиті овочі, фрукти або недостатньо термічно оброблене м’ясо;
- при порушенні гігієни – через землю, воду, траву або немиті руки.
Медики нагадують: своєчасне звернення допомагає уникнути ускладнень та виявити хворобу на ранній стадії.
Читайте також: Потрібні всі групи та резуси: На Рівненщині критично не вистачає донорської крові